The reputation is worse than the reality. When a tooth can be saved, this is how.
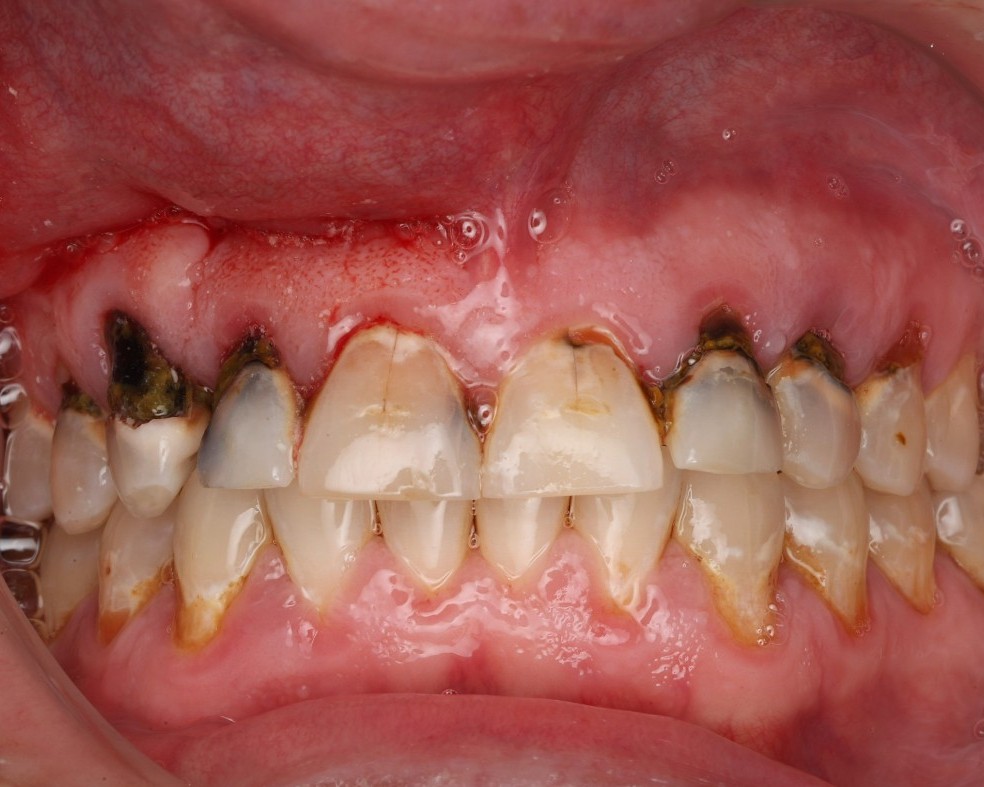
One patient. Severe decay. Every tooth saved — root canals, crown lengthening, and crowns.
Before
After
Before
After
And some snapshots from the work.
Case courtesy of the patient. Shared with consent.
What Is a Root Canal?
Remove the infection. Seal the tooth. Cap with a crown. Your real tooth, saved for decades.
Signs You Might Need One
Any of these — especially in combination — call us soon.
Our Approach
In pain? We make room today. Relief first.
If you feel anything, we numb more. No exceptions.
CBCT shows every canal. No surprises mid-procedure.
If the tooth can't be saved, we say so up front.
The Process
One or two visits. Pain usually gone within hours.
Quick exam. 3D scan. Honest options.
Fully numb. We test before we start. Anything sharp — we add more.
Infected pulp out. Canals cleaned and sealed.
Temporary filling now. Custom porcelain crown within weeks.
Related Services
In pain right now?
Same-day emergency slots. The sooner you call, the sooner you're comfortable.