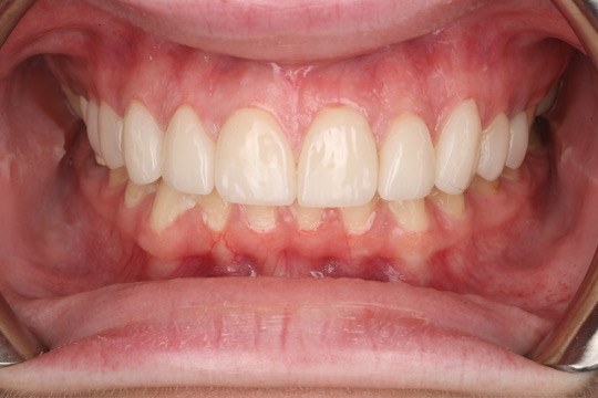
Hand-crafted porcelain. Calibrated to your face. You, on a really good day.
Case courtesy of the patient. Shared with consent.
What Are Veneers?
Thin as a contact lens. Bonded to your tooth. Doesn't stain, doesn't yellow, doesn't age.
When Veneers Make Sense
When whitening isn't enough, but the teeth underneath are still healthy.
Our Approach
— only what's necessary.
Mock-up in your mouth before any drilling. Tune shape, length, shade.
No mass-production labs. Every veneer painted to your face.
Subtle asymmetry. Looks like teeth, not Chiclets.
The Process
Two visits, 2–3 weeks apart. Temporaries in between — you're never without teeth.
30–45 minutes. Photos. Digital scan. Mock-up in your mouth.
no prep to very minimal enamel prep. Digital scan to the ceramist with shade notes.
You leave looking great while your finals are crafted.
Try in. Refine. Bond. About 2 hours. You leave with the smile.
Related Services
Ready to talk about veneers?
A conversation. A mock-up in your mouth. Same visit.