Single tooth or full arch. Planned, placed, and restored — all in one chair.
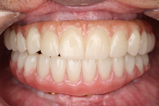
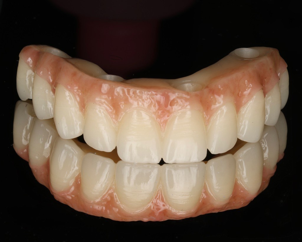
A small look at the cases he's restored in-house — full-arch implants, planned and finished under one roof.
Before
After
Before
After
And some snapshots from his work.
Case courtesy of the patient. Shared with consent.
What is a Dental Implant?
A titanium root. A porcelain crown. A tooth that looks, eats, and lasts like the real one.
Is This Right For You?
If any of these sound familiar, it's worth a conversation.
Our Approach
Surgery and final crown. Same office, same team.
3D-mapped before we touch the chair.
You leave with a tooth, never a gap.
Every option laid out. No surprises.
The Process
Most of the journey happens quietly, while you live your life.
30 minutes. 3D scan. No commitment.
Mapped in software — angled to your bone, around every nerve.
Placed precisely to your digital plan — angled to your bone, comfortable from start to finish.
Same-day 3D-printed tooth. 3–4 months to fully integrate.
Custom porcelain. Color-matched. Done.
Related Services
Ready to talk about implants?
30 minutes. A 3D scan. An honest plan. No pressure.